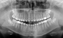
Panoramica Dentale

Lo studio radiografico delle arcate dentali fornisce informazioni fondamentali per la corretta diagnosi e formulazione dei piani di trattamento. La disponibilità diretta della strumentazione permetterà al paziente di ottenere in tempi rapidi un quadro completo dello stato di salute orale e delle cure da affrontare.
Tac Dentalscan

Le complessità anatomiche del cavo orale vanno affrontate con cautela e dettagliata pianificazione. L'analisi in 3D del rapporto tra denti e strutture attigue o della forma delle ossa mascellari permetterà di pianificare interventi di chirurgia orale o implantare sicuri. L'uso di strumenti TAC Dentalscan di ultima generazione ( Cone Bean ) forniscono immagini 3D altamente dettagliate contenendo al massimo la dose di radiazione a cui si espone il paziente.